I broke a bone for the very first time on July 27, 2023. The tale of how I was betrayed by gravity and gifted a distal radius fracture is pretty silly, all things considered:
On a balmy and dusky Thursday night, my partner and I were walking through a park where the municipality has installed some exercise equipment, including two parallel bars a little less than 2 meters from the ground. I had been working on my hand stands, and for some reason was feeling confident I could handle my own bodyweight if I swung up with both hands on the bars... until I lost my grip with my right hand and got the wind absolutely knocked out of me when I collided into the hard dirt. My face was scraped, but I've had enough concussions in my life (thanks, teenage athletic career) that I was immediately certain I had avoided a blow to the skull. But I knew, when I sat up still trying to catch my breath, there was something wrong with my arm.
My partner later told me he was extremely relieved that I, unprompted, volunteered to go to the emergency. I prefer to avoid doctors whenever possible, and apparently he had been mentally preparing to have to persuade me to go.
And that's the story of how my attempt to impress Leif with my epic skills ended with a distal radius fracture! Highly typical, and deeply funny!

The next six weeks were decidedly less funny. Being stuck in a cast during a typical 100% humidity and (less typical) firesmoke-flavoured Montréal summer was at times a brutal sensory experience, especially as my skin immediately rebelled at the demands of the cast. Regrowing bone is one of those things that's extremely cool in theory, but equally boring in practice.
Hair washing, putting my hair up in a ponytail or braiding it, writing with a pen, opening my contact lens containers, opening rippable food packaging or sticky zippers, trimming my nails, opening water bottles, preparing tea, washing dishes, washing my hands properly, the list of suddenly impossible tasks really does goes on and on, though my independence did improve as my left hand got used to being in charge.

After some early x-rays in August, the orthopedist and hospital physiotherapist also recommended I avoid exercising (I tried going back to the ballet studio 3 weeks after the break) and stop one of my endometriosis meds so that I could let my body really focus on the bone. I stopped the anti-inflammatories I take on a near daily basis to manage the endometriosis pain in my back and legs, as inflammation is a necessary part of the body's healing process. This introduced some complexity when it came to symptom/life management, but it was not as bad as I feared it would be. Broken bones are pretty distracting, which probably helped.
Overall, my radius is healing slightly behind the orthopedist's schedule — perhaps a side-effect of the other hormones and medications I take. But, after six slow weeks, I was liberated from a permanent cast on the 6th of September, and am wearing an orthosis for the next three weeks. I also have permission to get myself back to the ballet studio as long as I don't use my right arm, and to start physiotherapy.


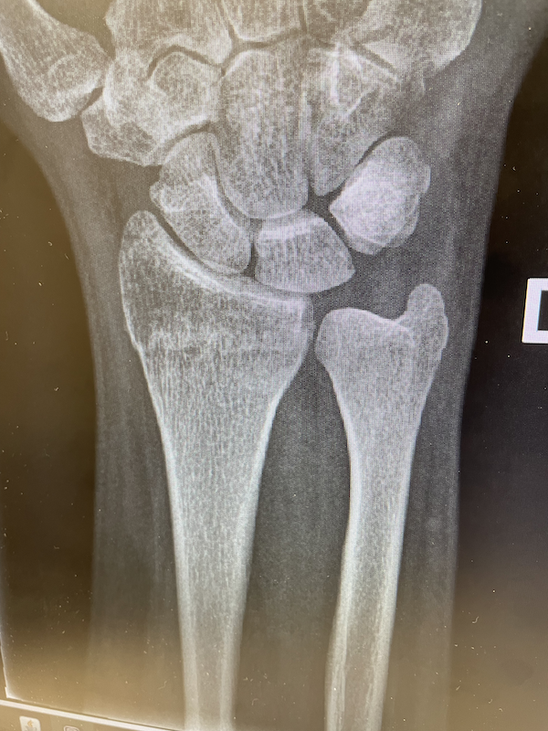
X-rays taken on September 6 2023 show that the bone is looking a lot less broken, but a lateral view shows that it hasn't yet finished putting itself back together yet, as there is still a rather large gap under my wrist.
Over the first six weeks, I was reacquainted with the restless anxiety that comes from being very active and having to suddenly stop everything. Not a short break, not a gradual diminution; 100 to 0 in one tidy swoop. Before I broke my radius, I was easily deadlifting 30 to 35 kilos with both arms, and could military press 20 kilos above my head. The amount of muscular atrophy that can set in in 6 weeks is a little freaky. I had to forcibly remind myself every day that I wasn't going to lose all the hard work I'd been putting into ballet for the past couple years... just a big chunk of the physical part of it. I had to learn to be okay with that, because that's life when you break a bone.
Losing 6 weeks of physical training — and independence, frankly — was a bit brutal on the psyche. And when I did get back to the ballet studio on the 6th of September and managed a paltry 50 minutes of barre work, I had breathless evidence that my endurance and strength have taken a hit. Exercises that were once straightforward now felt like trying to solve calculus with my hip abductors.
There may be a silver lining, which is that all bodies do need to take a vacation from physical activity from time to time. So I try to remember that the six weeks was not a waste of time. Being a chronically ill but vaguely athletic person in your 30s unfortunately often feels like everything is about fighting the inevitable truth that aging will worsen your quality of life as symptoms get harder to manage. I still have all the chronic illnesses I had before, plus an arthritic right knee. Even before I broke a bone, I couldn't help feeling sometimes that I'm no longer trying to reach for new heights but just trying to stave off inevitable lows.
I have to forcibly refrain from comparing myself to the CÉGEP and uni students in my ballet classes who can jump around like careless spring chickens — especially when I have no idea how they actually feel. Many athletes are experts at hiding their scars, after all. It used to drive me up the wall as a teenager to be repeatedly told I was "far too young" to be experiencing "true" knee pain. I try not to indulge that same reflex.

It took the time that it took, but on a too-hot Wednesday morning, my 6 weeks in a cast ended. A saw, the smell of fibreglass in the air, and I had to try to make a proper fist with my right hand for what felt like the first time.
And just like that, it was time to gingerly reacquaint my right hand to the world.
These are just some of the growing bone lessons. There are others, but this post is getting long enough, so I will let this topic rest for now.
Before I close, I want to shout-out my partner Leif who very kindly helped me not descend into complete feral gremlinness during these six weeks. Thank you so much for braiding my hair and helping me make tea every day.
I'm delighted to be entering this next phase with my bone recovery. I can't wait to start physiotherapy and get back to something like my old routine again. Movement is healing, it's a gift to be able to do any of this, yadayadayada, all that good stuff. The first six weeks are over. There will be other challenges, but I am grateful to have conquered this one.
Lessons from 6 weeks in a cast
I broke a bone for the very first time on July 27, 2023.